KEULEN – De Duitse douane heeft op 4 november een 38-jarige Nederlandse buspassagier aangehouden die cocaïne in zijn lichaam bleek te smokkelen. Dat gebeurde tijdens een controle van een internationale lijnbus op het busstation van luchthaven Keulen/Bonn. De bus was onderweg van Den Haag naar Frankfurt am Main.
De man viel volgens de Keulse Douane op door zenuwachtig gedrag, tegenstrijdige verklaringen over zijn meerdaagse reis en opvallend weinig bagage. Een drugstest op zijn handpalmen sloeg positief uit op cocaïne, waarna de douane hem voor verdere controle naar een ziekenhuis bracht.
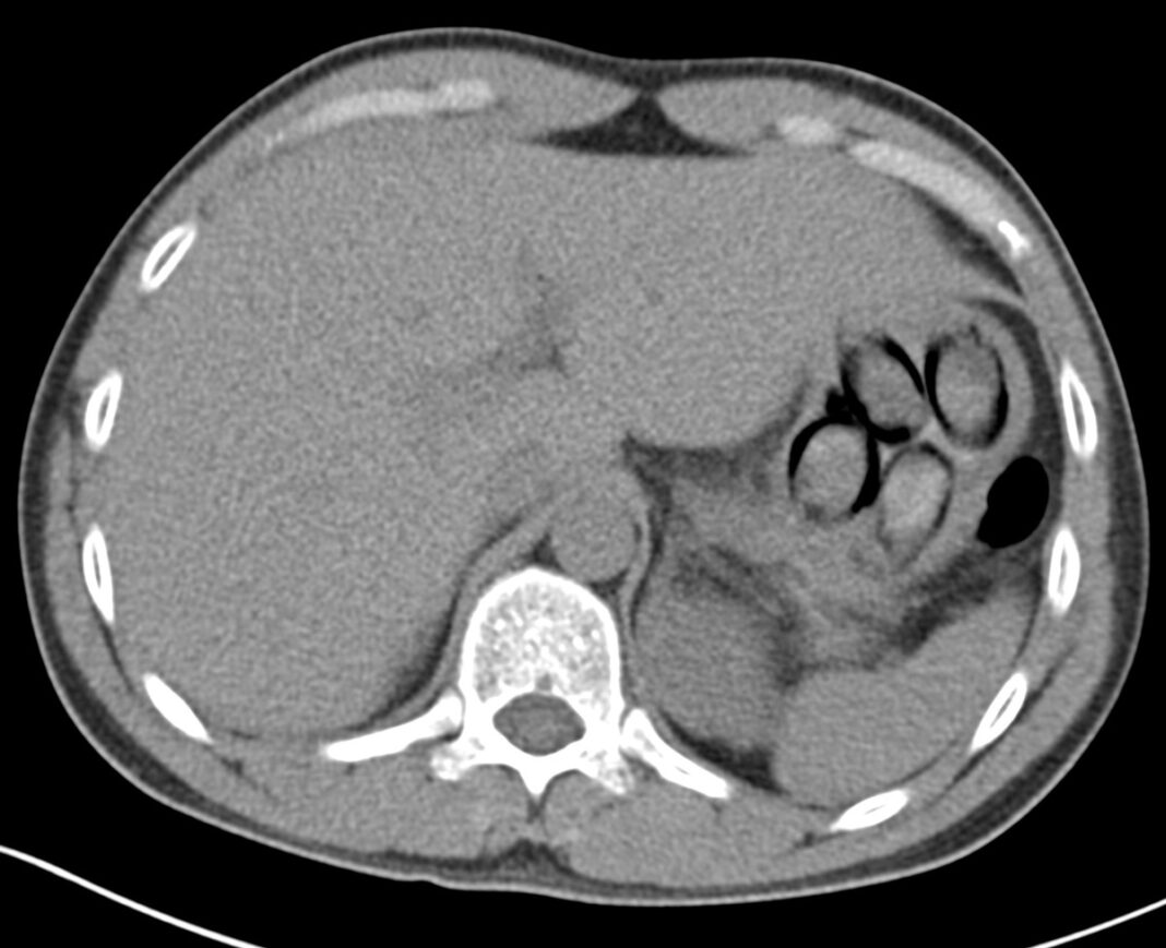
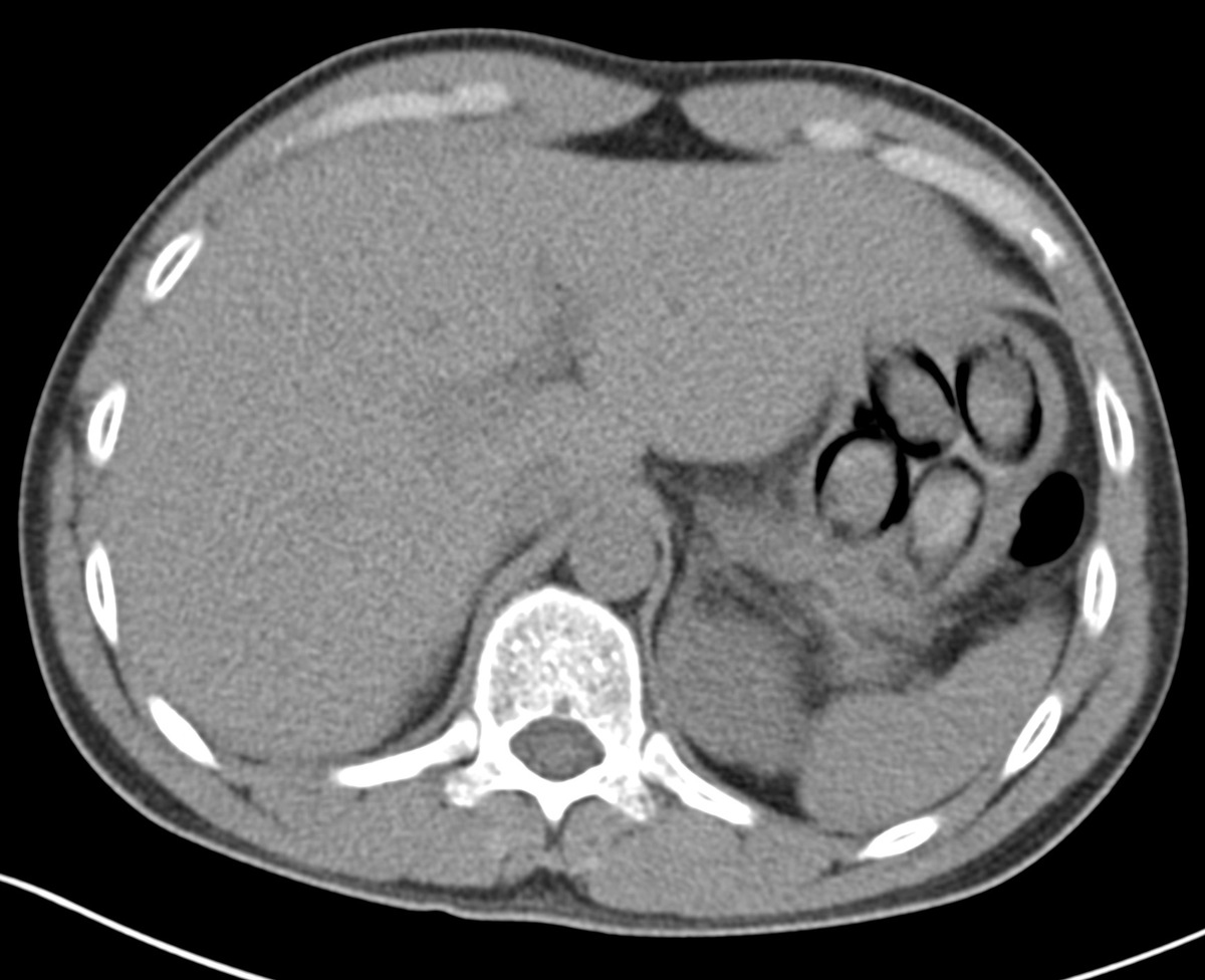
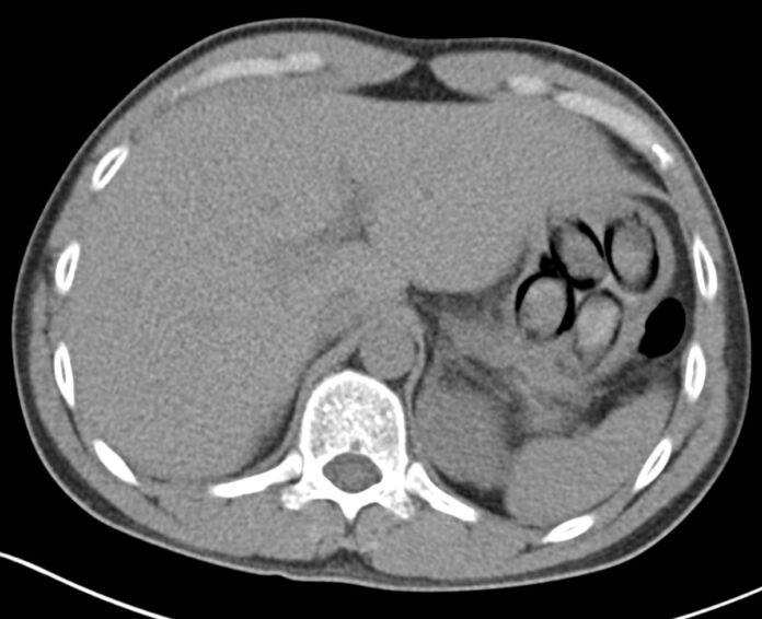
Daar toonde een röntgenonderzoek meerdere pakketjes in zijn maag. Onder toezicht scheidde de man uiteindelijk zeven zogenoemde bodypacks uit, goed voor meer dan 100 gram cocaïne.
Volgens Jens Ahland, woordvoerder van het Hauptzollamt Köln, is dit niet het eerste incident dit jaar: “We hebben al meerdere lichaamssmokkelaars onderschept. Het varieert van een Italiaanse buspassagier met 1,3 kilo cocaïne in het lichaam tot een moeder en dochter die samen bijna 140 gram heroïne hadden verstopt.”
Ahland benadrukt dat lichaamssmokkel levensgevaarlijk is: “Of het nu om een kilo gaat of een paar gram, als één pakketje in het lichaam openbarst, is het vrijwel altijd dodelijk.”
Het verdere onderzoek wordt uitgevoerd door het Zollfahndungsamt Essen.




